Definition
L’AVC est un déficit neurologique soudain d’origine vasculaire présumée et d’expressions clinique variée
Ethiopathogénie
Facteurs de risque
RR = risk ratio, OR = odds ratio
| Non modifiables | Modifiables |
|---|---|
| Age > 55 ans RR=2 | HTA chronique: RR=4 |
| Sexe: 1,25x chez les hommes avant 75 ans puis inversion | Diabète: OR=2 |
| Race (noire ++) | Dyslipidémie |
| Antécédents personnels d’AVC | Alcooloisme > 60g/j ou tabagisme: OR=2 |
| Facteurs génétiques | Oestroprogestatifs |
| Petit poids de naissance | Cardiopathies emboligènes |
| Sédentarité, obésité | |
| Hémocystéinémie |
Phases de l’AVC
- phase hyperaigue: 0-48 heures post AVC
- phase aigue: 2-14 jours post AVC
- phase subaigue: 14 jours - 6 mois post AVC
- phase chronique: > 6 mois post AVC
Classification
- AVC d’origine artérielle:
- AVC ischémique (AVCI = 80%)
- AIC (Accident ischémique constitué)
- AIT (Accident ischémique transitoire)
- Lacunes
- AVC hémorragiques (AVCH = 20%)
- Intraparenchymateux
- Hémorragie méningée
- AVC ischémique (AVCI = 80%)
- AVC d’origine veineuse
- Thrombophlébite cérébrale (TVC)
Pour mieux comprendre le mécanisme des AVC il importe de connaitre l’anatomie de la vascularisation cérébrale (cercle artériel et territoires vasculaires) mais nous n’en parlerons pas ici.
AVC Ischémique
- Mécanisme occlusif
- Embolique+++
- Thrombotique (souffrance du territoire cérébral en aval)
- Mécanisme hémodynamique
- Effondrement de la Pression Artérielle régionale
- AVCI par lésion des artères de gros et moyens calibres entrainant un infarctus de grande taille
- AVCI par lésion des artérioles donnant un infarctus de petite taille (des Lacunes)
AVC Hémorragique
- Hémorragie cérébro-méningée
- Innondation ventriculaire
- Hématome lobaire
- Hématome profond
Diagnostic positif
AVC ischémique
signes cliniques (avci)
- Installation soudaine (début brutal)
- Signes cliniques variables selon la topographie de l’infarctus et en fonction du territoire vasculaires touché
Les AVCI Carotidiens:
AVCI Sylvien superficiel
- Hémiparésie à prédominance brachiofaciale (++)
- Troubles sensitifs dans le territoire paralysé
- Hémianopsie latérale homonyme
- L’Atteinte de l’hémisphère majeur comporte :
- aphasie (Troubles du langage) motrice et non fluente de Broca si infarctus antérieur
- aphasie sensorielle et fluente de Wernicke (atteinte temporale postérieure)
- apraxie : idéomotrice et idéatoire (atteinte pariétale)
- L’ Atteinte de l’hémisphère mineur se manifeste par :
- un syndrome d’Anton-Babinski :
- anosognosie (non-reconnaissance du trouble)
- hémiasomatognosie (non-reconnaissance de l’hémicorps paralysé)
- héminégligence (spatiale, motrice et visuelle controlatéral, gênant la rééducation)
- syndrome de Gerstmann : acalculie, agraphie, agnosie des doigts et indistinction gauche/droite
- un syndrome d’Anton-Babinski :
AVCI de la cérébrale antérieure
- Hémiparésie controlatérale à prédominance crurale
- Syndrome frontal
AVCI Sylvien profond ou total
- Hémiplégie controlatérale totale et proportionnelle
Les AVCI Vertébro-basilaires
- AVC de la cérébrale postérieure:
- Hémianopsie latérale homonyme
- BAV voire cécité corticale
- Infarctus cérébelleux
- Trouble de l’équilibre
- Trouble de la coordination
- AVCI du tronc cérébral
- Syndrome alterne
signes paracliniques (avci):
imagerie:
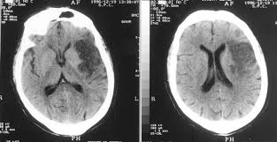
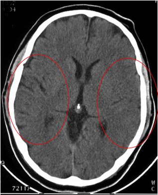
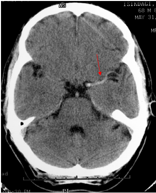
TDM (Scanner) Cérébral: L’Ischémie apparait comme une hypodensité spontannée (noire ou sombre) dans le territoire vasculaire atteint
- AVCI sylvien superficiel:

On peut également avoir des signes indirects avant 48h au scanner (effacement des sillons corticaux,trop belle artère sylvienne):


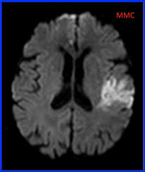
IRM cérébrale: L’ischémie apparait comme un hypersignal (blanc) en séquence de diffusion (autres séquences = FLAIR et perfusion)

complications possibles (acvi)
- 15-20% de décès sur les 02 premières semaines
- Dépression
- Démence vasculaire
- Epilepsie
- Spasticité
- Douleurs neuropathiques
AVC Hémorragique
signes cliniques (avch)
Début brutal
Hémorragie capsulo-lenticulaire
- HIC
- Hémiplégie controlatérale ± Hémianesthésie
- Trouble du langage
- Déviation conjuguée de la tête et des yeux dans les hématomes volumineux
Autres formes:
- Hématome Thalamique
- Hématome lobaire
- Hématome du cervelet
- Hématome du Tronc cérébral (protubérenciel)
signes paracliniques (avch)
imagerie
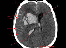
TDM (Scanner) Cérébral: L’Hémorragie apparait comme une hyperdensité spontannée (blanc) dans le parenchyme ou les ventricules
- Hémorragie cérébro-méningée avec inondation ventriculaire:

Complications possibles (avch)
- Pronostic fonctionnel meilleur que AVCI
- Mortalité à 1mois: 30%
- 1/2 patients décèdent dans les 48h
- Complications immédiates:
- resaignement (récidive)
- Engagement cérébral
- Hydrocéphalie aigue
- Inondation (ventriculaire)
- Complications tardives:
- Complications de décubitus
- Epilepsie
Diagnostic différentiel
Il ne faut pas confondre
- AVCI et AVCH (L’Imagerie fait la différence)
- AVC Ischémique avec:
- Traumatisme crânien, toxique, tumeurs cérébrales
- Un AIT avec:
- Une Crise d’épilepsie partielle
- Une Crise de migraine avec aura
- Une Hypoglycémie
- Une Hystérie, lipothymie…
- Un AVC Hémorragique avec:
- Une tumeur cérébrale (imagerie)
Etiologies
AVCI
- Etiologies vasculaires:
- Athérosclérose
- Artériolosclérose
- Dissection des artères cervico-encéphaliques
- Macro-angiopathies rares (SVCR,AI)
- Etiologies Cardiaques (emboligènes):
- Fibrilation Auriculaire
- Infarctus Du Myocarde
- Prothèses valvulaires mécaniques
- Cardiomyopathies dilatées
- autres causes rares (Endocardite infectieuse, Foramen Ovale Perméable, Rétrécissement Mitral, Bioprothèse valvulaire, Anvrysme du Septum Inter Atrial (ASIA))
- Etiologies Hématologiques:
- Polyglobulie
- Thrombocytémie
- Drépanocytose homozygote
- Dysglobulinémie, CIVD
- Leucémie, Thrombophilie (déficit en proteine C ou S, en antithrombine, mutation leiden du facteur V, syndrome d’anticorps antiphospholipides)
AVCH
- Hypertension artérielle chronique
- Malformations Vasculaires: Anévrysme, angiomes caverneux ou cavernomes
- Malformations Artério-Veineuses
- Télangiectasies
- Angiopathies amyloïde cérébrale
- Troubles de la coagulation de l’hémostase
- Tumeur cérébrale
- Traumatismes crâniens, toxicomanie, endocardite d’osler, TVC, les vascularites
- Causes indéterminée (10%)
Traitement
Mesures Générales
- Repos au lit strict à la phase aiguë
- Position demi-assisse après 2-3 jours (AVCi)
- Liberté des voies aériennes
- Maintien d’une tension artérielle suffisante
- Maintien d’une bonne fonction cardiaque
- Assurer un bon équilibre hydro-électrolytique et nutritionnel
- Lutte contre l’hyperglycémie
- Lutte contre l’hyperthermie
- Prévention des complications thromboemboliques
- Traitement antiépileptique si crise avérée
- Traitements anti-œdémateux: niveau de preuve insuffisant
- Kinésithérapie
- Nursing:
- Massage et friction des points de pression
- Soins de bouche et des yeux
- Changement de position toutes les quatre heures
- Sonde urinaire si besoin
Mesures spécifiques
AVCI
- Traitement anti-arthritique
- Antiagrégants plaquettaires: AAS (100à 300mg/j), clopidogrel 75mg
- Traitement hyperaigu des AIC: thrombolyse, thrombectomie
- Traitement des facteurs de risque
- Cardiopathies emboligènes (HBPM chevauchement AVK)
- Traitement chirurgical:
- Dans les infarctus malins
- Dissection et sténose carotidienne (Endartériectomie)
AVCH
- Drainage chirurgical
- Drainages ventriculaires si hydrocéphalie
- Normalisation des paramètres de coagulation chez patients sous anticoagulant ou Arrêt de tout traitement anticoagulant